Scientists have uncovered a startling effect of ultra-processed foods: they are causing fat to infiltrate thigh muscles, much like the marbling in high-end steak, and potentially paving the way for knee osteoarthritis.
In a new study published in the journal Radiology, researchers pored over MRI scans from 615 adults enrolled in the Osteoarthritis Initiative, a long-term project tracking knee health. None showed signs of osteoarthritis at the scan time, yet those with diets richest in ultra-processed foods had the most fat woven into their thigh muscles, regardless of calorie intake or BMI.
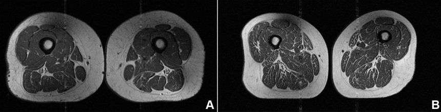
Lead author Dr Zehra Akkaya, from the University of California, San Francisco, spotlighted one extreme case. A 62-year-old woman’s thigh resembled premium beef after deriving 87 per cent of her calories from items like sugary cereals, chocolate bars, and fizzy drinks. “This participant’s diet was mainly comprised of cold cereals, chocolate candy or candy bars, regular soft drinks or bottled sugary drinks,” she explained.
“It was especially concerning because these individuals, scanned at a time when they had no signs of knee osteoarthritis, already showed compromised muscle quality,” Akkaya added. These foods, which make up more than half of U.S. adults’ calories (and 62 per cent for children), tie into obesity, cancer, heart disease, diabetes and depression.

The fat disrupts muscle repair, sapping strength from knee-supporting tissues and fuelling the world’s most common joint disorder, now striking 375 million people, many under 55.
“Thigh muscles are crucial for knee joint stability, and any loss in their strength or tone can increase mechanical stress on the joint, particularly in obese individuals, where excess body weight amplifies this burden,” Akkaya noted.
Experts like Dr Miriam Bredella of NYU Langone call it a body-wide issue. “It’s a systemic process so it’s not just in the thigh,” she said. Reversing it? Shift to home-cooked whole foods, low-impact exercises such as elliptical work and squats, and ditch sugary drinks for water, as advised by nutritionist Tim Spector.
“Throughout the study, the more ultraprocessed foods a person consumed, the more intramuscular fat they had in their thigh muscles, regardless of caloric intake,” said senior author Dr Thomas Link. While causation needs more proof, the wake-up call is clear: cut back to protect your muscles and joints.